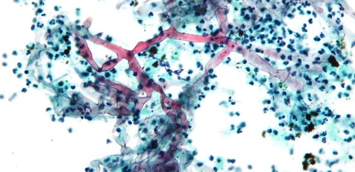
بیماری قارچ سیاه چیست و چگونه قربانیان خود را مورد حمله قرار می دهد
با گسترش ویروس کرونا در جهان و عدم کنترل کامل آن در کنار شرایط سخت زندگی برای بیشتر جمعیت دنیا، شاهد شیوع بیماریهای نادر...
با گسترش ویروس کرونا در جهان و عدم کنترل کامل آن در کنار شرایط سخت زندگی برای بیشتر جمعیت دنیا، شاهد شیوع بیماریهای نادر...
در فصل گرم تابستان که انتخاب وعدههای غذایی برای راحتی در هضم و در عین حال تامین آب مورد نیاز بدن سخت است، تنها...
از آن جایی که توسعه مهارتهای EQ فردی برای موفقیت حرفهای در دنیای امروز ضروری است، شناخت راههای بهبود آن در راستای رسیدن به...
طراحی مفهومی خودروی فراری (Ferrari F413) با هدف ارتقای افراطی جذابیت ظاهری، نمای یک وسیله نقلیه مستقل از آینده را به مخاطب القا میکند....
سگها موجودات بسیار باهوشی هستند و اولین چیزی را که ببینند، توجه شان به آن جلب میشود. فرقی ندارد این چیز یک کیف پول...
با توجه به آخرین اخبار خبرگزاری ایرنا، امشب 28 مرداد 1400 مصادف با 12 آگوست 2021 شاهد بارش شهابی «برساوشی» (Perseids) در آسمان شب...
وقتی به عناصر اصلی و در عین حال جاودانه دنیای مد فکر کنید، به طور ناخودآگاه رنگ مشکی، دکمههای سفید و گوشوارههای مرواریدی در...
به عنوان یکی از مهمترین و جذابترین جاذبههای گردشگری در جهان، باغ وحشها عموما مقاصد بسیار خوبی برای آشنایی با گونههای جانوری یک منطقه...
پلهای خلاقانه یک هنرمند فرانسوی که به صورت سازه موقت اجرا شدهاند، در آسمان به پرواز در آمده و بعد از مدت کوتاهی نابود...
شاید تا امروز هر چیز عجیبی از ناخنهای پشمالو گرفته تا ناخنهای بسیار بلند غیر کاربردی را در طراحیهای صنعت مد دیدهایم؛ اما، یک...
اهمیت رعایت بهداشت فردی و نظافت همیشگی بر کسی پوشیده نیست. با این حال باید توجه داشت که افراط در هر کاری برای شما...
«اسکارلت جوهانسون» (Scarlett Johansson) پس از اکران فیلم «بیوه سیاه» (Black Widow) در «دیزنی پلاس» (Disney Plus)، از دیزنی به دلیل نقض قرارداد خود...
اگر شما گیاه خوار باشید یا یک دوست گیاه خوار را برای عصرانهای دلپذیر دعوت کنید، میتوانید از رولهای دارچینی ما در کنار یکدیگر...
از نوسانات خلقی گرفته تا مسائل مربوط به مدرسه، همه نوجوانان با مشکلاتی در زندگی روزمره خود روبرو هستند که گاهی این پریشانی نوجوان...
هر روز مردم سراسر جهان به سراغ روشهای جدیدی میروند تا آینده بشر و زمین را بهتر و روشنتر کنند و مشکلات پیش رو...